Nanomaterials

1. Magnetically Recoverable Core–Shell M@Fe₃O₄ Nanoparticles for Catalysis

Magnetic nanoparticles are attractive because they can be easily separated and recovered with a magnetic field, while metal nanoparticles are valued for their excellent catalytic properties. In this project, both features were combined by designing core–shell M@Fe₃O₄ nanoparticles, consisting of an iron oxide (Fe₃O₄) magnetic core coated with a thin layer of catalytically active metals (Au, Pt, or Ni).

The synthesis was achieved using a polymer-assisted surface growth strategy, which allowed controlled deposition of the metal layer on the magnetic core. Structural studies confirmed uniform core–shell architectures, while catalytic testing demonstrated that these materials efficiently promoted the reduction of nitrophenol to aminophenol as a model reaction.

Importantly, the catalysts could be recovered magnetically and reused for at least ten consecutive cycles without loss of performance. Among the prepared systems, Au@Fe₃O₄ showed the highest activity, followed by Pt@Fe₃O₄ and Ni@Fe₃O₄.

This work establishes a straightforward route to recyclable catalytic nanomaterials, highlighting their potential applications in sustainable chemistry, environmental remediation, and energy-related processes.

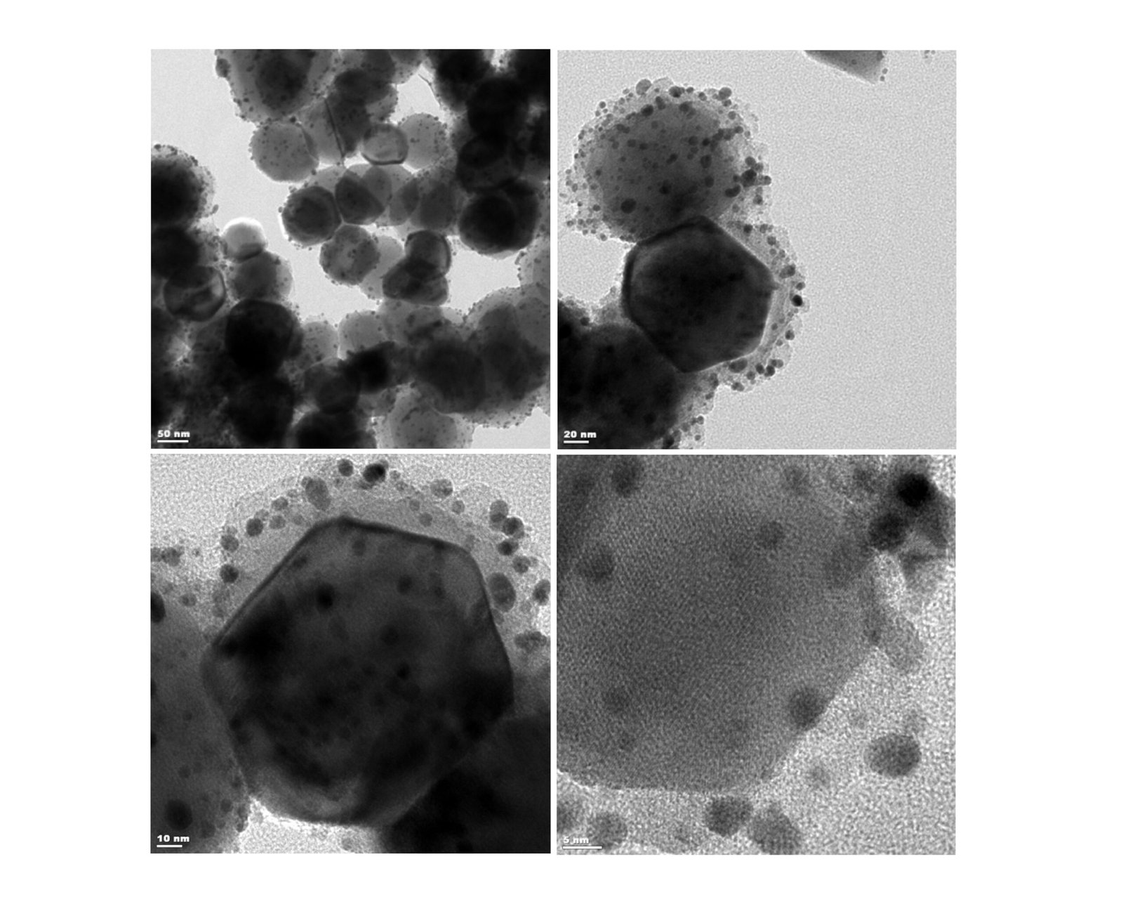
TEM images of Au@PEI–FeNPs

Transmission electron microscopy (TEM) images confirm the successful formation of core–shell Au@PEI–Fe₃O₄ nanoparticles. The micrographs show iron oxide (Fe₃O₄) cores with uniformly distributed ultrasmall gold nanoparticles decorating the surface.

Catalytic Activity of Au@Fe₃O₄ and Pt@Fe₃O₄ Nanoparticles in 4-Nitrophenol Reduction
Scroll to Top